복통, 고열, 복막 농양, 대장게실염, 맹장염, 복부초음파, 탈장수술
페이지 정보
작성자 운영자 작성일25-09-25 11:51 조회211회본문

입으로부터 항문까지 연결되어 있는 소화기관은 음식물을 받아들여서 영양성분으로 분해(소화의 한 과정)하고, 영양성분을 혈류 안으로 흡수하며, 신체로부터 소화되지 않은 음식물을 제거하는 기능을 담당합니다.
소화관은 다음과 같은 부분으로 이루어집니다.
소화기관에는 소화관(구강~항문) 외에도 소화관 외부에 위치한 주요 기관과 샘(침샘, 췌장, 간, 쓸개 등)이 포함됩니다.
소화기관 외부의 주요 기관 및 샘
침샘 : 입 주변에 위치해 타액을 분비, 음식물 소화의 첫 단계인 침 분비를 담당합니다.
췌장(이자) : 소장에 인접해 있으며, 소화 효소와 호르몬(인슐린 등)을 분비해 탄수화물, 단백질, 지방의 소화를 돕습니다.
간 : 해독, 대사, 담즙 생성 등 다양한 대사 기능을 수행하며, 담즙은 쓸개에 저장되어 지방 소화에 사용됩니다.
쓸개(담낭) : 간 아래에 위치해 담즙을 저장했다가 십이지장으로 분비합니다.
기타 : 위샘, 중장선 등 소화선도 소화관 외부에 존재하며, 소화 효소를 분비합니다.
이 외에도 소화기관 외부의 다양한 샘과 기관이 소화에 중요한 역할을 하며, 이들은 소화관의 기능을 보완하고 보조합니다.
구강
인후 및 식도
위
소장
대장
직장 및 항문
또한 소화기관에는 소화관 외부에 있는 다음과 같은 기관 및 샘(침샘)도 포함됩니다.
췌장
간
쓸개
침샘
소화기관은 때때로 위장계라고도 불리지만 두 이름 모두 소화기관의 기능이나 구성 요소를 완벽하게 설명해주는 명칭은 아닙니다.
또한 소화기관의 기관들은 소화와 관련이 없는 혈액 응고 인자 및 호르몬을 생성하고, 혈액에서 독성 물질을 제거하는 데 도움을 주며, 약물을 화학적으로 변경(대사)시킵니다.

복강은 대부분의 소화기관이 있는 공간입니다.
복강은 앞으로는 복벽(피부, 지방, 근육, 결합 조직 등의 층으로 구성), 뒤로는 척추, 위로는 횡격막 그리고 아래로는 골반에 의해 경계가 나 있습니다.
복강은 복막이라는 막으로 둘러싸여 있습니다.
복막은 소화기관의 바깥 표면 대부분을 둘러싸고 있습니다.
전문가들은 소화기관과 뇌 사이의 강력한 연관성을 인지해 왔습니다.
예를 들면 심리적 요인은 장의 수축, 소화 효소 분비, 기타 소화기관의 기능에 대단히 많은 영향을 미칩니다.
다양한 소화기관 장애를 유발하는 감염에 대한 취약성 조차 뇌로부터 강한 영향을 받습니다.
그 다음에는 소화기관이 뇌에 영향을 미칩니다.
예를 들면 과민성 대장 증후군, 궤양성 대장염, 기타 통증성 질병 등과 같은 오랜 질병이나 재발되는 질병은 감정, 행동 및 일상 생활의 기능에 영향을 미칩니다.
이와 같은 쌍방향의 영향 관계는 뇌-장관 축이라는 명칭으로 불립니다.
또한 장내 미생물총(소화관에 서식하는 모든 박테리아, 바이러스, 원생동물, 진균)이 비만, 심장 질환, 대장암, 정신 건강 등을 포함한 건강에 영향을 미칠 수 있습니다.
노화도 소화기관이 기능하는 방식에 영향을 미칠 수 있습니다.
 
 
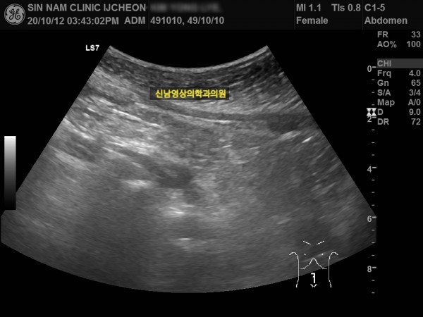
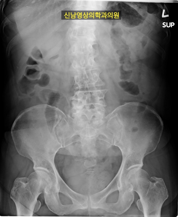
본 환자분께서는 사흘 정도 지속되는 복통과 고열로 내원하신 60대 중반의 환자분입니다.
복통 부위의 병변을 확인하기 위해서 복부 촬영과 복부 초음파검사를 진행했고, 맹장은 이상이 없고, 대장 주위로 복강삼출액(물)이 둘러싸고 있으면서 상행대장부위의 부종이 심하게 발견되었습니다.
원내 피검사상 백혈구 수치가 높아 대학병원 응급실로 전원 조치하고 응급수술을 받으셨고...
1년 뒤 수술 부위에 탈장이 발생하셔서 탈장 수술을 받으셨던 분입니다.
상복부 초음파 검사는 간, 담낭, 담관, 췌장, 신장, 비장 등 상복부 주요 장기를 초음파로 실시간 영상화해 진단하는 검사입니다.
구조와 이상有無를 확인합니다.
지방간, 간염, 간경변, 간암, 담석증, 담낭염, 췌장염, 신장 결석, 종양 등 다양한 질환을 진단할 수 있습니다.
일상에서의 복부 통증, 소화불량, 체중 감소, 복부 종괴가 있을 때 시행합니다.
상복부 초음파는 검사 시간도 짧고, 검사 이후에 일상생활이 가능합니다.
통증이나 부작용이 없고, 임산부나 신장질환자분들도 안전하게 시행할 수 있습니다.
조기 진단을 통해 건강한 삶을 영위하는 것이 중요합니다.




